Learned a new word and I’ve just gotta obnoxiously use it….

Well, I finally went to the hospital for my ankle yesterday….a week after I sprained the darn thing. I’ve been trying to ‘tough it out’, but it’s been really sore the last few days and I’ve been worried that maybe a bone was broken or fractured. My very, very sweet and kind landlady graciously offered to take me……and spend her entire afternoon with me……. just to help me out.  A true gem, that woman.

My landlady ~ whose name is Hai Yen….so now I can stop calling her ‘my landlady’ ~  took me to her regular hospital because she thought she could get a better price for me.  I gave her some money and she took care of all the payment and details for me. While she was taking care of that, I was wheeled to the x-ray (x-quang) area to wait my turn.  People who know a little English here usually want to practice on you, so my ‘orderly’ (are they still called that?) started practicing.  He talked about everything from learning English to the other patients waiting in line (mostly there due to motorbike incidents) to the war (not often mentioned here) to the difference in the color of our skin (I couldn’t see much, if any, difference, honestly). 
I was wheeled into the x-quang room and climbed onto the table.  The technician came in with one of those plates they put on the other side of whatever they’re x-quanging (I love that word)!  He brought out the plate they usually use for feet…..and had to go back for a bigger plate.  My feet are a bit bigger than the average foot here….sigh…..
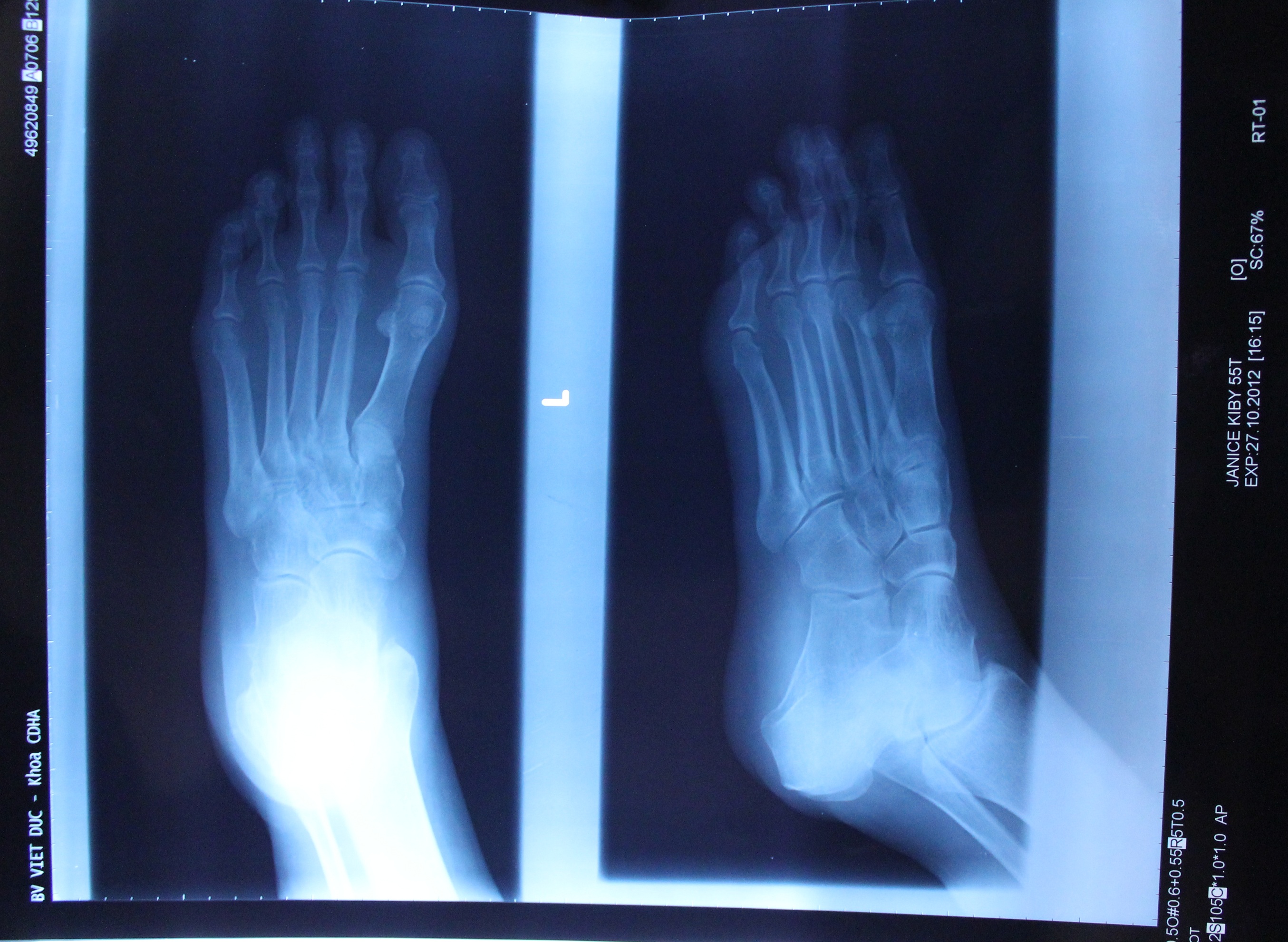
So, that done, I met Hai Yen back out in the hall and she was complaining that she couldn’t get the ‘local’ price for me…..which, she said, would have been about a buck (I swear that’s what she said)…..  I told her, “Khong sao, khong sao” (no problem).  I knew it would be cheaper than what I’d be paying back home, anyway.  So, off to talk to the doctor to get the x-quang results and ~ yay ~ no broken bones!  I’m really relieved.  They gave me a brace for my foot which really does help.  The final cost?  About $40 USD.  Unreal.   Now it’s just a matter of time to let it heal.  That’s so easy to write…..!   Patience, Janice, patience…..phai (right)……
I was going to post a picture of my foot in the brace, but figured you’ve probably just about had your fill of pictures of my foot….. BUT!!!  I will post this picture of the x-quang:
Happy Halloween!

5 thoughts on “Learned a new word and I’ve just gotta obnoxiously use it….

Leave a comment